Pasar al contenido principal
Proyecto de la asociación Mundo Positivo (Personas afectadas e infectadas con el VIH) desde 2004-2024
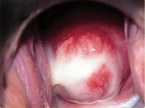
Chlamydia trachomatis en cervix
Clamidia en hombres
Actualizado

Back to top

1) Definición

La Chlamydia trachomatis (clamidia) es una bacteria intracelular pequeña, por lo que requiere de células vivas para multiplicarse. Hay 18 serotipos; los D-K son los que causan las infecciones transmitidas sexualmente, así como las infecciones neonatales. La infección por clamidia es la enfermedad bacteriana de transmisión sexual más común en el mundo occidental, siendo la causante de hasta el 50% de las UNG (uretritis no gonocócica).

Back to top

2) Transmisión

La clamidia se transmite por el sexo vaginal, anal y oral sin protección con una pareja infectada. Una mujer infectada puede infectar a su recién nacido durante el parto. Si cualquier persona en una pareja tiene clamidia, es más fácil contagiarse con el VIH, el virus que causa el SIDA.

  • Abstenerse de tener sexo, es la manera más segura de evitar una infección con clamidia, es decir no tener el sexo anal, oral o vaginal.

  • Limitando el sexo con una pareja no infectada es la siguiente manera de evitar un contagio, alguien quien solo tiene el sexo contigo-monogamia mutua.

  • Para esas personas que deciden estar activos sexualmente fuera de una relación permanente de largo plazo, deberían usar condones correctamente y constantemente, para reducir la transmisión.

  • Evite el sexo si los síntomas están presentes. Si piensa que puede tener clamidia (o cualquiera otra ETS), busque atención médica de inmediato en su clínica local de ETS, un hospital, o con un médico.

  • Antes de tener sexo, hable con su pareja(s) sobre la clamidia y otras enfermedades de transmisión sexual. Planee con ellos una estrategia para reducir el riesgo de contagio que más les conviene.

  • Si tiene la clamidia (o cualquiera ETS), avise a todas sus parejas para que ellos(o ellas) puedan buscar y obtener tratamiento.

Back to top

3) Epidemiología

Ver más en Daros de epidemiogía de España - Vigilancia epidemiológica de las infecciones de transmisión sexual Archivo pdf.  Se abrirá en una ventana nueva. . 1995-2015. Mayo 2017

Back to top

4) Etiopatogenia

La C. trachomatis, serotipos D-K, puede ser transmitida durante el sexo vaginal, oral o anal con una pareja infectada. La gestante puede transmitir la infección a su recién nacido durante el parto, ocasionando infección ocular o neumonía neonatal. La mayor incidencia se presenta en la adolescencia y en mujeres menores de 25 años, por lo que se ha recomendado el diagnóstico precoz de la infección en mujeres jóvenes sexualmente activas para prevenir sus complicaciones. El diagnóstico de C. trachomatis en el varón es de utilidad no ya para su propio bienestar evitando el desarrollo de uretritis y epididimitis, sino para evitar la transmisión, pero la infección suele ser asintomática en el 6 a 11% de ellos, especialmente en los adolescentes. Otros serotipos son los causantes del LGV que se describe en capítulo aparte.

Back to top

5) Período de incubación

Lo habitual es de 1 a 3 semanas, pero puede ser incluso de menos días, y también superior al mes.

Back to top

6) Clínica

Se ha demostrado que la infección por C. trachomatis es silente, asintomática en dos tercios de las mujeres (según autores hasta el 80%) y en menor medida en los hombres (10%, aunque hay quien llega a hablar del 50%). Son los síntomas uretrales los que alertan.

Mujer:

En caso de existir síntomas, suelen deberse a inflamación del cuello del útero o lauretra. Los más frecuentes son:

  • Incremento de la secreción mucosa o mucopurulenta.
  • Molestias durante las relaciones sexuales (dispareunia).
  • Pequeños sangrados por vagina tras el coito o de forma espontánea.
  • Escozor al orinar: disuria, y es habitual observar eritema en meato.
  • Aumento de la frecuencia urinaria: polaquiuria y urgencia miccional.
  • Secreción uretral purulenta (más raro).
  • Flujo vaginal en mujeres.

 

Dolor durante las relaciones sexuales en las mujeres
Sangrado entre períodos menstrualesHombre:

En el varón lo más frecuente es la aparición de síntomas de uretritis entre 3 días y3 semanas después del contagio:

  • Disuria de menor intensidad que en la uretritis gonocócica.
  • Irritación en glande y picor.
  • Salida de exudado claro o mucopurulento por el meato uretral, observable con más claridad cuando ha transcurrido mucho tiempo desde la última micción, secreción del pene en hombres.
  • Dolor testicular en hombres.

En definitiva, hay que tener en cuenta que tanto los hombres como las mujeres con C. trachomatis pueden tener flujo genital anormal o dolor leve en la micción, de forma similar a la infección por gonococo, con la que a veces puede ir asociada.

Back to top

7) Complicaciones locales

La ausencia de síntomas da lugar a que la infección no se trate y ello facilita la progresión de la clamidia por el aparato genital femenino, pudiendo producir:

  • EIP con dolor abdominal bajo, etc. La clamidia ha sido localizada en trompas de Falopio en el 50% de casos de EIP.
  • Embarazo ectópico: es una complicación posible.
  • Aborto espontáneo, parto prematuro y bajo peso.
  • Infertilidad por factor tubárico (salpingitis) o por endometritis.
  • Bartolinitis con tumefacción unilateral.

En el varón una complicación habitual es la epididimitis, que cursará con tumefacción y dolor escrotal unilateral y fiebre. Las complicaciones más frecuentes en varones de las infecciones por clamidias son: epididimitis, prostatitis, infertilidad, estenosis uretral, linfangitis del pene, abscesos  periuretrales, conjuntivitis y síndrome de Reiter. La inflamación del epidídimo se caracteriza clínicamente por la presencia de fiebre, dolor en el hemiescroto correspondiente, acompañado de un aumento de tamaño del mismo; a veces no hay fiebre, siendo el dolor o un aumento de sensibilidad del mismo lo más llamativo.

Back to top

8) Localizaciones extragenitales

  • Proctitis: en el caso de relaciones sexuales anales, pueden existir síntomas por inflamación del recto (diarrea, dolor al defecar, mucosidad o sangrado por el ano).
  • Artritis reactiva: síndrome de Reiter.
  • Conjuntivitis, bien por contacto directo o a través de la mano.
  • Prostatitis.

Un caso especial es el de la transmisión al hijo.

Recién nacido

El recién nacido se puede infectar en el canal del parto durante el mismo. Lo más frecuente es la aparición de conjuntivitis entre 1 y 2 semanas después del nacimiento, pero también pueden producirse infecciones respiratorias, incluyendo neumonía, durante el primer trimestre de vida.

Back to top

9) Diagnóstico

Los síntomas de la clamidia y de la gonorrea son muy similares, lo que exige un diagnóstico preciso. Demostración con tinción de Gram de más de cinco polimorfonucleares por campo de 1.000 aumentos.

  • Cultivo: la muestra debe incluir células epiteliales, ya que la clamidia es intracelular obligado, y el pus no contiene gérmenes suficientes. Una prueba de frotis proveniente de uretra en varón o del cuello del útero es el método más fiable para detectar la clamidia.
  • Métodos de detección de ADN: sensibilidad de 98-100%. Puede realizarse en una muestra genital o de orina, y se recomienda, sobre todo en varones, por su mayor sensibilidad y especificidad. Son técnicas caras, no al alcance de todos los laboratorios.
  • Métodos de detección de antíge-nos: sensibilidad 70-90%, especificidad 96-100%. Técnicas más sencillas y rápidas.
  • Pruebas sin cultivos: inmunofluorescencia directa, enzimoinmuno-análisis (EIA). En 24 horas están los resultados. La tinción de Gram no sirve para la clamidia, para detectarla, pero sí para confirmar el diagnóstico de UNG.
Back to top

10) Tratamiento

La terapia principal para la clamidia exige tratamiento adecuado con antibióticos:

  • Azitromicina 1 g, oral, en dosis única.
  • Doxiciclina 100 mg/12 horas durante 7 días.

Ambas son igual de eficaces, por lo que la primera opción es la preferida por comodidad y cumplimiento, e incluso por tolerancia.

Otras opciones válidas son:

  • Eritromicina 500 mg/6 horas, 7 días.
  • Claritromicina 250 mg/12 horas, 7 días.
  • Ofloxacino 300 mg/12 horas, 7 días.
  • Levofloxacino 500 mg/24 horas, 7 días.

Hay que tener presente que otras quinolonas no se han mostrado eficaces.

Back to top

11) Manejo de las parejas sexuales

Es habitual contraer la clamidia junto a gonorrea o sífilis, de manera que hay que investigar la presencia de otras infecciones de este tipo. Asimismo, todos los compañeros sexuales se deben someter a los exámenes necesarios. Todas las parejas sexuales en los últimos 2 meses deben ser evaluadas y recibir tratamiento para prevenir la transmisión de la infección y reinfección, ya que no existe inmunidad significativa después de la infección y puede llegar a reinfectarse. También la última pareja, aunque hayan pasado más de 60 días. Es imprescindible el uso de preservativo hasta el final del tratamiento, o 7 días después de la monodosis si se tomó la pauta de azitromicina.

Back to top

12) Tratamiento en el embarazo

La doxiciclina y las quinolonas están contraindicadas.

El tratamiento de elección vuelve a ser la azitromicina en dosis única de 1 g.

Como segunda elección se dispone de la eritromicina. Si hay intolerancia gástrica a la dosis de 500 mg, se puede plantear 250 mg/6 horas, pero durante 14 días. Al mes del tratamiento hay que valorar su efectividad

 

Back to top